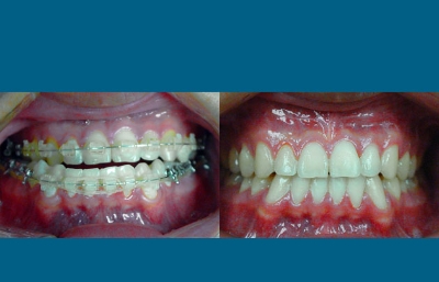
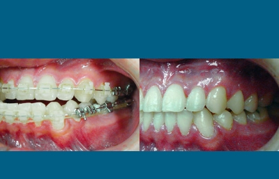
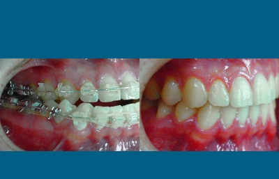
Orthognathic Surgery – Corrective Jaw Surgery Case 1 Back to Orthognathic Surgery – Corrective Jaw Surgery Photo Gallery Home Next Patient Previous Next Gender Male Next Patient